No voy a contar nada nuevo sobre esta patologia, ya en mas de una ocasion, he subido casos de este tipo de fractura que , aunque actualmente el tratamiento tiene ciertas variaciones (pronto pondré algun caso), la resolucion en el que nos ocupa, no aporta ninguna novedad, aunque vereis que sí podemos seguir sorprendiendonos.
Boxer, 5 meses, cojera EAD desde hace unas semanas. Tratan con antiinflamatorios por iniciativa del propietario hasta que deciden acudir al veterinario. Realizan rx del codo de la extremidad afectada.
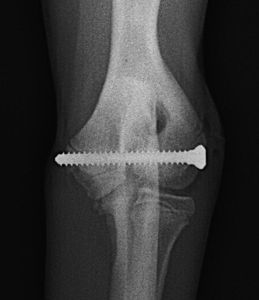
Es evidente la fractura del proceso lateral del condilo, ademas, las regeneraciones oseas evidenciables radiologicamente, indican que el periodo de evolucion es de al menos 3 semanas. En consecuencia, lo mas probable es que queden secuelas por existir ya lesiones, pero es posible la recomposicion del codo.
Como casi siempre (el casi lo contaré en otra entrada) decidimos la resolucion mediante el abordaje lateral, y colocacion de un tornillo intercondilar con aguja antirrotacional
Y ya está?........
NO!!.
Hace ya casi un año que subimos un caso curioso quizas por infradiagnosticado. Este tipo de fracturas son muy comunes en ciertas razas, braquicefalicas, retrievers, y spaniels, y segun los estudios, es probable que haya un factor predisponente y es que se produce una falta de union en los nucleos de osificacion del condilo humeral (recordemos que son 2 independientes y que se terminan uniendo alrededor de los 5 meses de edad) Por eso, cuando encuentro un caso asi en cualquier animal, ya protocolariamente realizamos estudio radiologico de la contralateral
Valoremos en detalle la "sana"
Et voilá!. Encontramos la linea radiolucida entre los dos procesos del condilo que son indicativas de la existencia de una OICH (osificacion incompleta del condilo humeral).
Si nos hubiesemos ido tranquilos a casa pensando que la resolucion quirurgica ha sido buena, probablemente en no menos de 1 mes, hubiesemos encontrado la misma fractura en la extremidad contraria.
Sin embargo, al seguir el protocolo diagnostico, podremos "evitar" que se fracture el condilo de la otra pata por la sobracarga sufrida en el postoperatorio.
De esta manera, en el mismo acto quirurgico, y practicamente a cielo cerrado, podemos colocar un tornillo de compresion intercondilar en la pata sana que dé resistencia y favorezca la completa osificacion.
Son tan solo 15- 20 minutos mas de quirófano, un incremento minimo de costes y............ ahora sí me voy tranquilo.
Luis Pérez
DVM. DipESVPS. GPCert SAS (Small Animal Surgery) C.V. TARTESSOS
S.A.T.C.O.V.
Virgen del Loreto, 11. 41950 Castilleja de la Cuesta - SEVILLA- ESPAÑA
Tlf.: +34 954 162 152
Mail: satcov@gmail.com




2 comentarios:
No lo pierdas de vista Luís...
Hay osteofitos en la región coronoidea.
Un saludo
efectivamente, Pepe, y sindrome compartimental. Lo primero que hay que hacer es estabilizar, y despues, si nos dejan, tratar la OA de ese codo de la manera que mejor venga en cada caso.
gracias por la apreciacion
Publicar un comentario