martes, 26 de marzo de 2013

COMUNICACION PORTOCAVA. SHUNT PORTOSISTEMICO

Ya en otras ocasiones he subido casos de shunt portosistemicos, incluso valorando posibilidades de confirmar y tratar esta patologia de manera quirurgica. Pero si he subido tantos casos de fraturas, similares, articulaciones etc...pensé que por qué no subir éste caso dado que siempre encontramos algo  que nos pueda aportar alguna novedad.
 en este caso, la novedad nos viene dada por el metodo diagnostico, el protocolo previo antes de la cirugia en el que se utilizan metodos de diagnostico por imagen avsanzados que nos facilitan enormemente el acto quirurgico posterior.
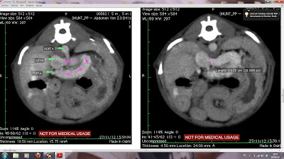
 Se trata de un perro de 5 meses de raza terrier que es dignosticado de un shunt portosistemico por la sintomatologia y resultados de laboratorio. Para confirmar las sospechas, y aqui viene la novedad, realizan una tomografia computerizada para valorar la vasculrizacion abdominal y confirmar la existencia del vaso anormal.

Con estos datos, ¿quien no es capaz de encontrarlo?.
 Vemos una comunicacion portocavade mas de 6 mm de diametro que aparece de manera sinuosa de derecha a izquierda justo craneal a la arteria renal y la frenicoabdominal.
  Por tanto, realizamos una celiotomia ventral por la linea alba craneal desde la apofisis xiphoides hasta el ombligo, y retiramos el mesoduodeno hasta llegar a la zona que buscamos

Una vez encontrado el vaso anomalo, confirmamos que se trata de la comunicacion ocluyendo su circulacion. En ese instante debemos ver que pancreas y asas intestinales, toman un color oscuro, y éstas ultimas incrementan su peristaltismo. Si esto no ocurriese.....sigamos buscando porque habremos errado
Una vez confirmado (en este caso era mas dificil fallar que encontrarlo por su tamaño y conocimiento previo de su trayectoria) colocaremos como siempre una anillo ameroide conforme a su diametro que producirá un cierre paulatino de la luz del vaso permitiendo la adaptacion del higado al aumento de la llegada de sangre por la porta.
Evidentemente, hasta que se produzca la oclusion completa, deberemos continuar con el tratamiento medico durante algunas semanas, valorando la funcionalidad hepatica cada 2 semanas.
Luis Pérez
DVM. DipESVPS. GPCert SAS (Small Animal Surgery)  
C.V. TARTESSOS
S.A.T.C.O.V. 

Virgen del Loreto, 11. 41950 Castilleja de la Cuesta - SEVILLA- ESPAÑA
Tlf.: +34 954 162 152
Mail: satcov@gmail.com

miércoles, 6 de marzo de 2013

CONMINUTED FRACTURE OF FEMUR. Fractura femoral conminuta

A pesar de que los tiempos avanzan, los medios cada vez son mayores, la preparacion cada vez mejor (la experiencia es un grado) y los propietarios cada dia son mas cuidadosos y responsables con sus mascotas, las patologias ortopedicas que vemos suelen ser muy similares.
 Me limito a ir subiendo casos, probablermente repetidos, pero que de una u otra manera tienen cierta variacion con los que ya podemos encontrar en este blog.
 Hoy tratamos el caso de un pointer, de mediana edad (5-6 años) cazador, que durante una jornada de cacería sufre un accidente y se fractura el fémur. Pero no es una fractura cualquiera...es lo que llamamos"un marron"
Para complicarnos aun mas la situacion (quirurgica me refiero) no es atendido de manera inmediata, sino que pasan "algunos dias" (12 en concreto) hasta que es valorado por el veterinario que me hace llegar esta bella imagen radiologica.
  Encontramos 2 problemas fundamentalmente: 1, evidentemente, la conminucion de la fractura, 2, el fragmento proximal es quizas demasiado pequeño para encontrar una fijacion adecuada....y yo añadiría un tercero que es el mencionado tiempo quizas excesivo, para lanzarnos a una reconstruccion.
 Los que me seguis sabeis que me gusta la reconstruccion anatomica, fijacion rigida, mucho material de inplante que me de la tranquilidad suficiente de que es complicado la movilizacion de la fractura......
Pero ¿que hago con ésto? la recomposicion es imposible, una placa DCP no cabe en proximal, cerrojado más de lo mismo.... Que opciones me quedan?
Podriamos intentar un Tie -in, pero la fijacion externa no es mi fuerte, ademas, hablamos de un pointer de cacería que dudo mucho que consigan controlarlo las 6-8 semanas con los implantes al exterior sin que se enganche, movilice, arranque....
AY Dios!!...
  Me lanzo, hablo con los dueños, planteo posibilidades, intento resolver en una sola intervencion Y ME DEJAN!!, asumen el coste de los implantes que he pensado!!
Pasamos el acero al titanio, pasamos de la fijacion rigida a la mas flexible, pasamos de grandes cantidades de material a mucho menos "hierro".
 Hacemos abordaje clasico a la diafisis femoral ampliando un poco mas en proximal, y efectivamente, la gran musculacion y vascularizacion de la zona (pero de deporte) ya me ha creado una granulacion lo suficientemente fuerte para impedir recomposicion de fragmentos
indescifrable!!...Busco zonas de hueso sano en fragmento proximal y distal y un correcto alineamiento de las lineas articulares...

 Una de las ventajas de la evolucion de los sistemas de fijacion es que podemos encontrar en el mercado multiples metodos de fijacion para estas cosas. En este caso, es el sistema PAX de titanio, que ya mencione en la anterior entrada con la TTA, de placas bloqueadas el que me saco del atolladero.
Con 4 corticales (2 en cada fragmento) en bloqueo, se consiguió una rigidez mas que suficiente con un material (el titanio) con gran capacidad de osteointegracion, y resistencia

El resultado radiologico, aunque no lo parezca, es mas que bueno. Las articulaciones estan correctamente alimneadas y si no hay complicaciones, se resolverá de manera óptima. Prometo subir evolucion

 Agradezco a la empresa de distribucion del sistema PAX Securos la facilidad de trato y ofrecimiento total para disponer de sus materiales en un minimo tiempo.
Luis Pérez
DVM. DipESVPS. GPCert SAS (Small Animal Surgery)  
C.V. TARTESSOS
S.A.T.C.O.V. 

Virgen del Loreto, 11. 41950 Castilleja de la Cuesta - SEVILLA- ESPAÑA
Tlf.: +34 954 162 152
Mail: satcov@gmail.com