Lo que n o excluye que podamos tener una lesion a nivel de tejidos periarticulares.
Un poco de anatomia:
El carpo es una articulacion compuesta que incluye las articulaciones antebraquiocarpiana, carpiana media, carpometacarpiana e intercarpiana. En su totalidad actua como una bisagra compuesta que permite moviumientos de flexion extension y una pequeña angulacion lateral (mayor grado de pronacion en el gato)
El mayor grado de movilidad lo tiene la art. antebraquiocarpiana, que permite 100º en flexion y 10 º en extension, 5 º en var y 15 en valgus y supone el 80-90% del total de movilidad de la articulacion.
La anatomia ósea le proporciona poca estabilidad, dependiendo de las estructuras ligamentosas para su sosten. Es una art sometida a hiperextension de manera fisiologica, por lo que son los ligamentos palmares y el fibrocartilago los elementos mas importantes para prevenir la hiperextension.
Dorsalmente, esttá protegido por todos los musculos que recorren la region dorsal del carpo: Extensor carporradial, e. digital comun, e. digital lateral, e. carpocubital, abductor largo del dedo I, y la capsula articular.
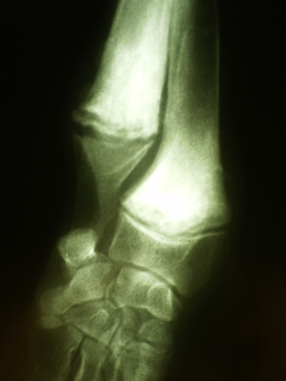
Por ello, la rx simple, es limitada para valorar la estabilidad de la articulacion ,y debemos realizar rx de estres en hiperflexion, hiperextension y bostezos lateral y meial.
En este caso la rx en hiperflexion nos evidencia la inestabilidad dorsal.
La dificultad que conlleva reparar todas las lesiones a nivel de tejidos blandos, y reestablecer la estabilidad, hace que en la mayoria de las ocasiones sea la artrodesis pancarpiana, la tecnica de eleccion para resolver estas situaciones.
La discusion sobre la artrodesis ,tecnicas, materiales y comentarios, las publicamos recientemente en la revista :
www.veterinariargentina.com/revista/2011/02/utilizacion-de-placa-hibrida-vs-placa-escalonada-en-artrodesis-pancarpiana-en-perros
Nos centramos pues en las imagenes quirurgicas del proceso, desde la obtencion del injerto esponjoso en la tuberosidad mayor del humero hasta la implantacion de una placa escalonada.
obtencion de hueso esponjoso
Posicionamiento y aislamiento de vena cefalica
legrado de la superficie articular ( tenodesis del tendon del extensor digital lateral)
Resultado de la implantacion de la placa.
El resultado es muy satisfactorio, recuperando la movilidad en un plazo de 3 semanas (aunque persiste la leve cojera por la artrodesis) y las imagenes radiologicas evidencian la correcta resolucion al cabo de 4 semanas.
Luis Pérez
C.V. TARTESSOS
S.A.T.C.O.V. Servicio Ambulatorio de Traumatologia y Cirugia Ortopédica VeterinariaVirgen del Loreto, 11. 41950 Castilleja de la Cuesta - SEVILLA - ESPAÑA
tlf: + 34 954 162 152
mail: satcov@gmail.com




